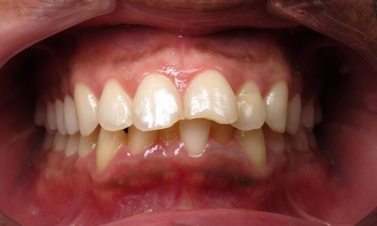
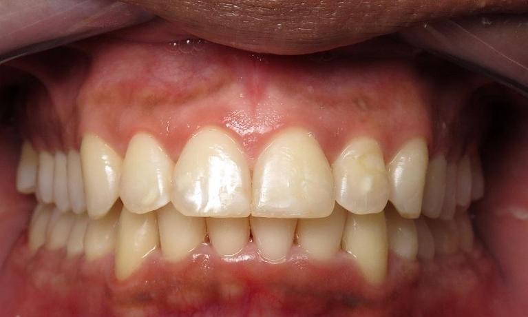
Nothing makes us happier than seeing the satisfied smiles of our patients. Please a look at some of our patients before and after their procedures to get an idea of what you can expect from our amazing team at Ricardo Suarez, DDS. See what an incredible difference your smile can make!
Gallery Categories
I'm so grateful that I found Dr. Suarez
"After 15 years of avoiding the dentist, I decided to give it another try. I'm so grateful that I found Dr. Suarez. He is so nice and has a staff of remarkable people that are beyond nice and caring, and very professional too. This is the doctor that I am going to recommend to everybody. I would stop looking, schedule the appointment, you will not be disappointed."
- Francisco I.
 
 
 
 
 
 
 
 
 
 
 
 
 
